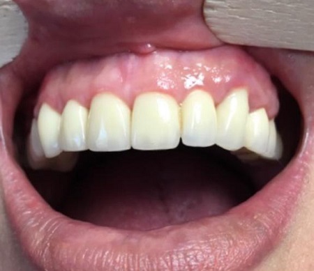
به گزارش مجله سلامتی صلح خبر لمینت دندان، قیمت سال ۹۹ و جدیدترین انواع آن +ویدئو برترینها: امروزه گزینه اصلی طیف گستردهای از مردم که به دنبال ظاهری بی نقص برای دندان هایشان هستند، لمینت دندان است چرا که این روش تقریبا بی خطر و بدون عوارض است. نصب لمینت دندان روشی در دندانپزشکی زیبائیست […]
به گزارش مجله سلامتی صلح خبر
لمینت دندان، قیمت سال ۹۹ و جدیدترین انواع آن +ویدئو
برترینها: امروزه گزینه اصلی طیف گستردهای از مردم که به دنبال ظاهری بی نقص برای دندان هایشان هستند، لمینت دندان است چرا که این روش تقریبا بی خطر و بدون عوارض است.
نصب لمینت دندان روشی در دندانپزشکی زیبائیست که موجب ترمیم بی نظمی خفیف در دندان (بد شکلی، ترک، لب پر شدن ویا کجی)، اصلاح رنگ دندانها و پرشدن فاصله بین آنها میشود.


جهت مشاوره رایگان با دکتر شهنام سیحون فرم زیر را پر کنید.
شرایط استفاده از لمینت دندان
باید توجه داشت که لمینت دندان، مشکل دندانهای قدامی (۶ دندان) را برطرف میکند.
برای انجام لمینت دندان، یک شرایط ابتدایی لازم است:
- شرایط فک و لثه باید مناسب باشد. اگر بیمار مشکل فکی و یا تحلیل لثه و یا نیاز به ارتودنسی داشته باشد، گزینه مناسبی برای نصب لمینت دندان نیست.
- افرادی که بافت مینای دندان آنها کافی نیست، کاندید مناسبی برای انجام لمینت دندان نیستند.
- از مهمترین موانع انجام لمینت دندان، داشتن عادات نا مناسب دهانیست (مثل دندان قروچه کردن) که میتواند منجر به شکستگی دندان لمینت شده گردد و یا در طولانی مدت به لمینت دندان آسیب وارد کند.
مزایای استفاده از لمینت دندان
رنگ لمینت دندان
برتری بزرگ این روش، ثابت ماندن رنگ لمینت دندان، همرنگ بودن با دیگر دندانها و داشتن سطح شفاف و درخشنده است. برای مثال برای افراد سیگاری که تصمیم به ترک سیگار ندارند، لمینت دندان راه مناسبی برای داشتن لبخندی زیباست.
کاربرد درمانی
در برخی مواقع لمینت دندان برای درمان پوسیدگی دندان به کار میرود.
نصب نسبتا آسان
لمینت دندان معمولا به تغییر شکل زیاد دندان نیاز ندارد وبعد از نصب ظاهری شبیه به دندان واقعی دارد. نکته مهم دیگر اینکه در فرآیند نصب لمینت دندان، آسیبی به مینای دندان وارد نمیشود.
انواع لمینت دندان
لمینت دندان به طور کلی به دو دسته تقسیم میشود که از نظر جنس و ساخت متفاوت هستند:
۱. لمینت سرامیکی
این نوع لمینت دندان از جنس سرامیک است ونیاز است پس از قالب گیری در لابراتوار ساخته شود به همین دلیل به این نوع لمینت دندان، روش غیر مستقیم هم گفته میشود. لمینت دندان سرامیکی، ظاهری زیباتر دارد، ثبات رنگ بیشتری دارد و مقاومتر است. البته ناگفته پیداست که این نوع لمینت دندان هزینه بیشتری هم خواهد داشت.
لمینت دندان از جنس سرامیک خود به زیر شاخههایی تقسیم میشود که برخی از آنها به اختصار توضیح داده میشود.


جهت مشاهده نمونههای بیشتر از اینستاگرام بازدید نمایید.
dr_shahnamseihoon@
انواع سیستمهای آی پی اس امپرس (IPS Empress): این نوع از لمینت دندان توسط پرس بر روی Cast (مدل قالب گیری شده از دندان) نصب شده و در کوره فرم داده میشود با نامهای ایمپرس سرامیک (High pressed ceramic) هم شناخته میشود و بسیار پر کاربرد هستند.
لمینیتهای فلدسپاتیک: که از فلدسپاتیک پرسلن ساخته شده و به صورت پودر گذاری در لابراتوار، توسط تکنسین بر روی cast فرم داده میشود.
کادکام (CAD-CAM): در این روش ابتدا یک بلوک سرامیکی ساخته شده و سپس در یک جلسه چند ساعته روکش تولید میشود. ایراد بزرگ این نوع لمینت دندان که بیشتر بار تولیدش بر دوش کامپیوتر است، نا توانی در تولید رنگ مناسب برای لمینت دندان است.
لمینت دندان با بیس الومینیا و زیرکونیا: طریقه ساخت این نوع لمینت دندان به این صورت است که یک زمینه از جنس اکسید زیرکونیم روی قالب گچی ساخته شده از دهان بیمار پیاده میشود و سپس به روش لایه لایه روی این زمینه شکل دندان را میسازند و در نهایت به کوره فرستاده میشود. این نوع خاص از لمینت دندان از استحکام بسیار بالایی برخوردار است. این نوع لمینت دندان به این علت که عموما در نصب به دندان دچار مشکل میشوند چندان رایج نیستند.
۲. لمینت کامپوزیتی
در این نوع لمینت دندان، ونیر از جنس کامپوزیت است و در مطب ساخته میشود. استفاده از ونیر کامپوزیتی را روش مستقیم هم مینامند. لمینت دندان از جنس کامپوزیت شفافتر است پس در مورد دندانهای با رنگ خیلی زرد شاید نتیجه دلخواه حاصل نشود.
در عوض در این جنس لمینت دندان، قبل از نصب تغییر کمتری روی دندان اعمال میشود و دندانها به تراش کمتری نیاز دارند (اگر شرایط دندان فرد مناسب باشد، بدون تراش انجام میشود).



همین حالا با ما تماس بگیرید.
۰۲۱-۲۲۲۲۴۲۱۲
۰۲۱-۲۲۲۶۰۴۴۵
۰۹۱۲۱۰۶۴۲۳۵
۰۹۰۵۰۸۵۶۰۸۷
مراقبتهای بعد از نصب لمینت دندان
بعد از اینکه درمان انجام شده و لمینت بر روی دندان نصب شد، لازم است زمان بیشتری نسبت به قبل صرف بهداشت دهان و دندانتان نمائید.
بهتر است در باره استفاده از دهان شویه زمانی که لمینت دندان دارید، تامل بیشتری کنید. استفاده بی رویه از دهان شویههایی که محتوی فلوراید هستند میتواند روی لمینتها تاثیر بگذارد پس بهتر است در این باره با پزشک خود مشورت نمائید.
از دیگر مشکلات شایعی که ممکن است بعد از گذشت مدت زمانی نسبتا طولانی پس از نصب لمینت دندان پیش بیاید، تغییر رنگ است. البته دامنه این تغییر رنگ بسیار به سبک زندگی شما مربوط میشود. استفاده از دخانیات و یا نوشیدن مداوم قهوه و چای میتواند این روند را سرعت بخشد.
قیمت لمینت دندان
بعد از بررسی تمام نکات مطرح شده و اتخاذ تصمیم اولیه برای داشتن لبخندی زیبا و دلنشین، مهمترین دغدغه این است که هزینه لمینت دندان چقدر است؟
تعرفه لمینت دندان در شهر تهران برای روش مستقیم یا لمینت دندان از جنس کامپوزیت از ۷۰۰ هزار تومان تا ۲ میلیون تومان برای هر دندان بوده درحالی که قیمت لمینت دندان از جنس سرامیک نسبتا بالاتر است. قیمت لمینت سرامیکی دندان چیزی در حدود ۳ میلیون تومان برای هر دندان میباشد. به این ترتیب میتوان گفت هزینه لمینت دندان از جنس کامپوزیت بسیار مناسبتر از هزینه لمینت سرامیکی دندان است.
لازم به ذکر است که هزینههای ذکر شده در بالا برای لمینت دندان، تنها برای کمک به تخمین هزینه از جانب شماست. برای مثال هستند مطبهایی که برای نصب لمینت دندان از نوع فوق باریک (لومینیر)، هزینهای معادل ۳ تا ۶ میلیون تومان طلب میکنند.
حال شاید تنها این سوال در ذهن شما بی پاسخ مانده باشد که با توجه به تعرفه ثابت، علت تفاوت قیمت لمینت دندان در مطبهای گوناگون چیست؟ برای پاسخ به این سوال باید گفت بر اساس تعرفه قیمت لمینت دندان ۹۹ در تهران، بستگی به نوع لمینت (لمینت سرامیکی یا کامپوزیت دندان)، زمان صرف شده و بعضا منطقه جغرافیایی مطب دندان پزشکی دارد.

دکتر شهنام سیحون
جهت مشاوره رایگان با دکتر شهنام سیحون فرم زیر را پر کنید.

همین حالا با ما تماس بگیرید.
۰۲۱-۲۲۲۲۴۲۱۲
۰۲۱-۲۲۲۶۰۴۴۵
۰۹۱۲۱۰۶۴۲۳۵
۰۹۰۵۰۸۵۶۰۸۷

جهت مشاهده نمونههای بیشتر از اینستاگرام بازدید نمایید.
dr_shahnamseihoon@

تهران، میرداماد، میدان محسنی، خ آزیتا، پلاک ۱۳، زنگ ۱۰۳، طبقه اول واحد ۳
منبع : Bartarinha




